Ten artykuł stanowi kompleksowy przewodnik dla właścicieli Yorkshire terrierów, którzy podejrzewają lub już wiedzą o zapadaniu się tchawicy u swojego pupila. Dowiesz się z niego, czym jest ta choroba, jakie objawy powinny Cię zaniepokoić, jak przebiega diagnostyka oraz jakie są dostępne metody leczenia, aby zapewnić Twojemu psu jak najlepszą jakość życia.
Zapadanie się tchawicy u Yorków to postępująca choroba wymagająca kompleksowej opieki.
- Zapadanie się tchawicy to przewlekła choroba genetyczna, szczególnie dotykająca Yorkshire terriery.
- Charakterystyczne objawy to "gęgający" kaszel, duszności i nietolerancja wysiłkowa.
- Diagnostyka obejmuje badanie kliniczne, RTG oraz endoskopię, która jest "złotym standardem".
- Leczenie może być zachowawcze (leki, zmiana stylu życia) lub chirurgiczne (stenty, pierścienie).
- Kluczowa jest rola opiekuna w kontroli wagi, stosowaniu szelek i unikaniu czynników drażniących.
- Choroba jest nieuleczalna, ale odpowiednie leczenie i opieka mogą zapewnić psu komfortowe życie.

Twój York kaszle w dziwny sposób? To może być zapadanie się tchawicy
Jako właściciel Yorkshire terriera, z pewnością zwracasz uwagę na każdy nietypowy dźwięk wydawany przez swojego pupila. Jeśli zauważyłeś u niego dziwny, suchy kaszel, który brzmi jak "gęganie", to niestety może być to sygnał zapadającej się tchawicy. Jest to dość częsta, przewlekła i postępująca dolegliwość, która dotyka przede wszystkim małe rasy psów, a Yorki są na nią szczególnie narażone. Rozumiem Twój niepokój, ale ważne jest, aby wiedzieć, że choć choroba jest poważna, odpowiednia wiedza i współpraca z weterynarzem mogą znacząco poprawić komfort życia Twojego czworonożnego przyjaciela.
Dlaczego właśnie Yorkshire terriery są w grupie ryzyka? Krótkie wprowadzenie do problemu.
Zastanawiałeś się kiedyś, dlaczego akurat Twój York, a nie na przykład labrador sąsiada, jest narażony na zapadanie się tchawicy? Otóż Yorkshire terriery, podobnie jak inne małe rasy (np. chihuahua, pudle miniaturowe), mają genetyczne predyspozycje do tego schorzenia. Uważa się, że problem leży w niedorozwoju chrząstek tchawicy, które są po prostu słabsze i mniej elastyczne niż u innych psów. Chociaż dokładne przyczyny nie są do końca poznane, to właśnie te wrodzone cechy sprawiają, że Yorki znajdują się w grupie podwyższonego ryzyka. To nie jest Twoja wina, ale świadomość tych predyspozycji jest pierwszym krokiem do odpowiedzialnej opieki.
Czym dokładnie jest zapadająca się tchawica i na czym polega to schorzenie?
Wyobraź sobie tchawicę jako rurkę, przez którą powietrze dostaje się do płuc. U zdrowego psa ta rurka jest sztywna i okrągła, dzięki chrzęstnym pierścieniom. W przypadku zapadającej się tchawicy, te pierścienie stają się miękkie i spłaszczone. Zamiast utrzymywać okrągły kształt, tchawica zapada się, zwłaszcza w momencie wdechu lub wydechu, zwężając swoje światło. To zwężenie utrudnia przepływ powietrza, co prowadzi do charakterystycznych objawów, o których zaraz opowiem. To trochę tak, jakbyś próbował oddychać przez zgniecioną słomkę jest to po prostu trudniejsze i mniej efektywne.
Niepokojące sygnały: Jakie dźwięki i zachowania Twojego Yorka powinny zapalić czerwoną lampkę?
Wczesne rozpoznanie objawów zapadającej się tchawicy jest kluczowe dla szybkiej reakcji i rozpoczęcia odpowiedniego leczenia. Wiem z doświadczenia, że właściciele często bagatelizują początkowe sygnały, myśląc, że to zwykłe zakrztuszenie. Niestety, w przypadku Yorków, każdy niepokojący dźwięk z dróg oddechowych powinien skłonić nas do konsultacji z weterynarzem. Im szybciej zareagujemy, tym większe szanse na skuteczne zarządzanie chorobą i zapewnienie psu komfortu.
Charakterystyczny "gęgający" kaszel naucz się go rozpoznawać.
Najbardziej charakterystycznym i często pierwszym objawem jest specyficzny kaszel, który właściciele opisują jako "gęgający", "skrzeczący" lub przypominający odgłos trąbienia gęsi. Ten kaszel jest suchy, nagły i często kończy się odruchem wymiotnym, choć pies nie zwraca pokarmu. Zwróć uwagę, kiedy się pojawia: bardzo często wywołują go chwile ekscytacji (np. powrót właściciela do domu), stres, intensywny wysiłek, a nawet tak prozaiczne czynności jak picie wody. Niestety, nawet delikatny ucisk na szyję, na przykład przez obrożę, może sprowokować atak kaszlu. Jeśli słyszysz takie dźwięki, to jest to bardzo silny sygnał ostrzegawczy.
Świszczący oddech, chrapanie i duszności: Kiedy stają się powodem do niepokoju?
Oprócz kaszlu, inne objawy ze strony układu oddechowego również powinny wzbudzić Twój niepokój. Świszczący oddech, który słyszysz nawet w spoczynku, oraz nasilone chrapanie mogą wskazywać na zwężenie dróg oddechowych. W miarę postępu choroby, pies może doświadczać duszności, co objawia się przyspieszonym, płytkim oddechem, widocznym wysiłkiem podczas oddychania, a nawet otwieraniem pyska w celu zaczerpnięcia powietrza. Te symptomy świadczą o poważniejszych problemach z przepływem powietrza i wymagają natychmiastowej uwagi weterynaryjnej.
Zmiany w zachowaniu: Mniejsza ochota na zabawę i szybkie męczenie się.
Trudności w oddychaniu mają bezpośredni wpływ na ogólne samopoczucie i aktywność psa. Zauważysz, że Twój York staje się mniej chętny do zabawy, szybciej się męczy podczas spacerów, a jego tolerancja wysiłkowa drastycznie spada. To naturalna konsekwencja jeśli każdy oddech wymaga wysiłku, pies instynktownie ogranicza aktywność, aby oszczędzać energię. Może to być subtelna zmiana, ale uważny właściciel z pewnością ją dostrzeże. Nie lekceważ tego, ponieważ to sygnał, że pies cierpi.
Sytuacje, które nasilają objawy: stres, ekscytacja, a nawet picie wody.
Jak już wspomniałem, pewne sytuacje mogą znacząco nasilać objawy zapadającej się tchawicy. Oprócz wspomnianego wysiłku, ekscytacji i ucisku na szyję, warto zwrócić uwagę na stres. Każda silna emocja, zarówno pozytywna, jak i negatywna, może prowadzić do przyspieszenia oddechu i nasilenia kaszlu. Nawet picie wody, zwłaszcza łapczywe, może podrażnić tchawicę i wywołać atak. W zaawansowanych przypadkach, gdy tchawica jest niemal całkowicie zamknięta, pies może doświadczać sinicy (niebieskawe zabarwienie błon śluzowych) lub nawet omdleń. To już stany zagrożenia życia, wymagające natychmiastowej interwencji.

Od podejrzenia do diagnozy: Jak weterynarz sprawdzi, co dolega Twojemu psu?
Kiedy zauważysz niepokojące objawy u swojego Yorka, kluczowe jest, aby jak najszybciej udać się do weterynarza. To właśnie lekarz, bazując na swojej wiedzy i doświadczeniu, będzie w stanie postawić trafną diagnozę i zaproponować najlepsze ścieżki leczenia. Pamiętaj, że dokładna diagnostyka jest fundamentem skutecznej terapii, a ja jako specjalista zawsze stawiam na precyzję w tym zakresie.
Pierwszy krok: Co lekarz oceni podczas badania klinicznego?
Pierwsza wizyta u weterynarza zawsze rozpoczyna się od szczegółowego wywiadu, podczas którego opowiesz o zauważonych objawach. Następnie lekarz przeprowadzi badanie kliniczne. Oceni ogólny stan zdrowia Twojego psa, osłucha jego płuca i tchawicę, szukając niepokojących dźwięków. Bardzo często delikatna palpacja (czyli dotykanie) szyi w okolicy tchawicy może sprowokować charakterystyczny kaszel, co jest silnym wskaźnikiem problemu. To proste badanie daje już wiele cennych informacji, które naprowadzają na właściwą diagnozę.
RTG klatki piersiowej: Co można zobaczyć na prześwietleniu?
Zdjęcie rentgenowskie (RTG) klatki piersiowej to często pierwsze badanie obrazowe, które wykonujemy. Może ono uwidocznić zwężenie tchawicy, jednak jego czułość nie jest stuprocentowa wynosi około 60%. Oznacza to, że prawidłowy wynik RTG nie wyklucza całkowicie zapadającej się tchawicy. Aby uzyskać jak najwięcej informacji, wykonuje się zdjęcia w różnych fazach oddechu: zdjęcie odcinka szyjnego tchawicy na wdechu, a piersiowego na wydechu. Pozwala to ocenić dynamikę zmian i stopień zapadania się w zależności od fazy oddechowej.
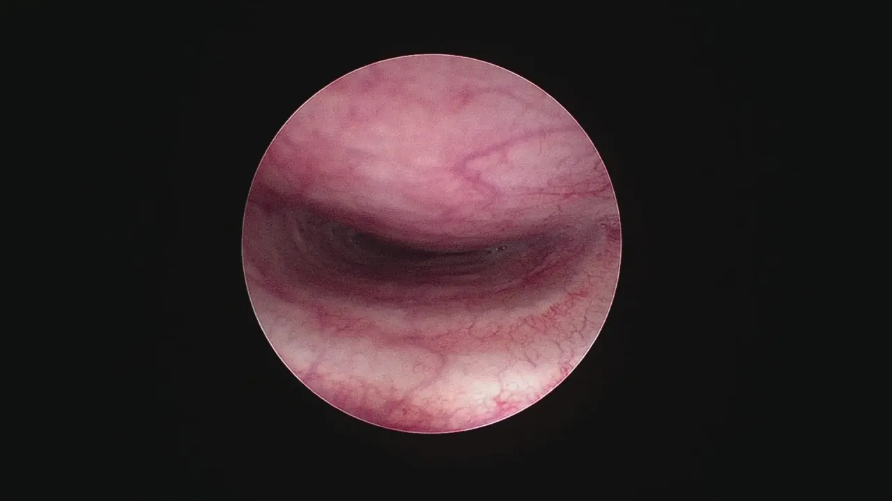
Endoskopia jako "złoty standard": Jak wygląda badanie od środka?
Jeśli RTG nie daje jednoznacznej odpowiedzi lub podejrzewamy zaawansowany przypadek, "złotym standardem" w diagnostyce zapadającej się tchawicy jest endoskopia, czyli tracheoskopia. Jest to badanie inwazyjne, wykonywane w znieczuleniu ogólnym, podczas którego weterynarz wprowadza cienki endoskop z kamerą bezpośrednio do tchawicy psa. Pozwala to na bezpośrednią ocenę wnętrza tchawicy, stanu błony śluzowej, obecności ewentualnych stanów zapalnych oraz, co najważniejsze, na precyzyjne określenie stopnia zapadnięcia się. To badanie daje nam najpełniejszy obraz problemu. Czasem wykonuje się również fluoroskopię, czyli dynamiczne RTG w czasie rzeczywistym, które pokazuje, jak tchawica zachowuje się podczas oddychania.
Cztery stopnie zaawansowania choroby: Co oznaczają dla Twojego pupila?
Na podstawie badań diagnostycznych, weterynarz określi stopień zaawansowania choroby. Wyróżniamy cztery stopnie, które informują nas o tym, jak bardzo zwężone jest światło tchawicy:
- Stopień I: Tchawica zwężona jest o około 25%. Objawy mogą być łagodne i pojawiać się sporadycznie.
- Stopień II: Zwężenie wynosi około 50%. Kaszel jest częstszy, a pies może wykazywać mniejszą tolerancję wysiłkową.
- Stopień III: Tchawica zwężona jest o około 75%. Objawy są wyraźne, duszności mogą występować nawet w spoczynku, a jakość życia psa jest znacząco obniżona.
- Stopień IV: Tchawica jest niemal całkowicie zamknięta. To stan krytyczny, z bardzo poważnymi dusznościami, wymagający natychmiastowej interwencji.
Zrozumienie stopnia zaawansowania jest kluczowe, ponieważ to właśnie od niego zależy wybór najskuteczniejszej metody leczenia.

Jak pomóc psu z zapadającą się tchawicą? Przegląd metod leczenia
Kiedy diagnoza zostanie postawiona, przychodzi czas na opracowanie planu leczenia. Pamiętaj, że zapadanie się tchawicy jest chorobą postępującą i nieuleczalną, ale to nie oznacza, że nie możemy znacząco poprawić jakości życia Twojego psa. Wybór terapii zawsze zależy od stopnia zaawansowania choroby, nasilenia objawów oraz ogólnego stanu zdrowia pupila. Moim celem jest zawsze znalezienie rozwiązania, które przyniesie największą ulgę.
Leczenie zachowawcze pierwsza linia obrony w łagodniejszych przypadkach
W przypadku łagodniejszych stopni zaawansowania choroby (I i II), a także jako wstęp do leczenia chirurgicznego lub uzupełnienie po nim, stosujemy leczenie zachowawcze. Koncentruje się ono na łagodzeniu objawów i poprawie komfortu oddychania psa. Jest to często bardzo skuteczna strategia, która pozwala wielu psom na prowadzenie satysfakcjonującego życia przez długi czas.
Kluczowe leki: rozszerzacze oskrzeli, środki przeciwkaszlowe i sterydy.
W farmakoterapii wykorzystujemy kilka grup leków. Rozszerzacze oskrzeli pomagają rozluźnić mięśnie gładkie dróg oddechowych, co ułatwia przepływ powietrza. Środki przeciwkaszlowe, jak sama nazwa wskazuje, mają za zadanie zmniejszyć częstotliwość i nasilenie kaszlu, co jest niezwykle ważne, ponieważ każdy atak kaszlu dodatkowo podrażnia tchawicę. Sterydy (leki przeciwzapalne) są stosowane w celu zmniejszenia stanu zapalnego i obrzęku błony śluzowej tchawicy, co również przyczynia się do poprawy drożności. Odpowiednie dawkowanie i kombinacja tych leków są zawsze dobierane indywidualnie do potrzeb Twojego psa.
Rola antybiotyków kiedy są potrzebne?
Antybiotyki nie są standardowym elementem leczenia zapadającej się tchawicy, ponieważ jest to problem strukturalny, a nie infekcyjny. Są one jednak niezwykle ważne, gdy dojdzie do wtórnych infekcji bakteryjnych, które często towarzyszą przewlekłym problemom z drogami oddechowymi. Kaszel i gromadzenie się wydzieliny mogą sprzyjać rozwojowi bakterii. Weterynarz zdecyduje o ich zastosowaniu, jeśli badania wykażą obecność infekcji.
Gdy farmakologia nie wystarcza interwencja chirurgiczna
W przypadkach zaawansowanej choroby (III i IV stopień), kiedy leczenie zachowawcze przestaje przynosić oczekiwane rezultaty, a jakość życia psa znacząco spada, rozważamy interwencję chirurgiczną. Jest to poważna decyzja, ale w wielu sytuacjach może ona uratować życie i przywrócić psu komfort oddychania.
Stenty dotchawicze: Nowoczesne "rusztowanie" dla dróg oddechowych.
Najpopularniejszą i często najskuteczniejszą metodą chirurgiczną jest implantacja wewnątrztchawiczego stentu. Możesz sobie wyobrazić stent jako małą, elastyczną "sprężynkę" lub siateczkę, która jest wprowadzana do tchawicy i rozpręża się, utrzymując jej światło otwarte. Dzięki temu powietrze może swobodnie przepływać do płuc. To rozwiązanie jest szczególnie efektywne w przypadkach, gdy zapadanie się dotyczy odcinka piersiowego tchawicy. Chociaż stenty znacząco poprawiają jakość życia, wiążą się z potencjalnym ryzykiem powikłań, takich jak podrażnienie, tworzenie się ziarniny czy rzadziej złamanie stentu, dlatego decyzja o ich wszczepieniu jest zawsze dokładnie analizowana.
Zewnętrzne pierścienie protetyczne: Alternatywna metoda operacyjna.
Alternatywną metodą operacyjną, stosowaną głównie w przypadku zapadania się odcinka szyjnego tchawicy, jest wszczepienie zewnętrznych pierścieni protetycznych. Chirurg umieszcza specjalne pierścienie wokół tchawicy, które wzmacniają jej strukturę i zapobiegają zapadaniu się. Jest to bardziej inwazyjny zabieg niż implantacja stentu, a jego zastosowanie jest nieco rzadsze. Obie metody mają swoje wskazania i przeciwwskazania, a wybór zależy od indywidualnej oceny przypadku przez doświadczonego chirurga weterynaryjnego.
Kluczowa rola opiekuna: Co możesz zrobić w domu, aby ulżyć swojemu Yorkowi?
Jako właściciel, odgrywasz absolutnie kluczową rolę w zarządzaniu zapadającą się tchawicą u Twojego Yorka. Nawet najlepsze leczenie weterynaryjne nie przyniesie pełnych efektów bez Twojego zaangażowania i codziennej troski. Wiem, że to może być wyzwanie, ale każda mała zmiana w codziennym życiu może znacząco poprawić komfort i jakość życia Twojego pupila. Pamiętaj, że jesteś jego najważniejszym obrońcą.
Szelki zamiast obroży dlaczego ta prosta zmiana jest tak ważna?
To jedna z najprostszych, a zarazem najważniejszych zmian, jaką możesz wprowadzić. Jeśli Twój York nadal nosi obrożę, natychmiast zmień ją na szelki. Obroża, nawet luźna, może wywierać ucisk na tchawicę, co prowokuje kaszel i duszności. Szelki rozkładają nacisk na klatkę piersiową, eliminując ryzyko podrażnienia delikatnej tchawicy. To naprawdę niewielki koszt w porównaniu do korzyści, jakie przyniesie Twojemu psu.
Kontrola wagi: Jak nadmiar kilogramów wpływa na oddech psa?
Otyłość to wróg numer jeden dla psa z zapadającą się tchawicą. Nadmiar tkanki tłuszczowej, zwłaszcza w okolicy szyi i klatki piersiowej, dodatkowo uciska na drogi oddechowe, nasilając objawy. Co więcej, otyłość obciąża cały układ krążenia i oddechowy, sprawiając, że psu jest jeszcze trudniej oddychać. Utrzymanie prawidłowej masy ciała jest absolutnie fundamentalne dla komfortu Twojego Yorka. Jeśli Twój pies ma nadwagę, porozmawiaj z weterynarzem o odpowiedniej diecie i bezpiecznym planie odchudzania.
Zarządzanie środowiskiem: Unikanie dymu, upałów i nadmiernej ekscytacji.
Środowisko, w którym żyje Twój pies, ma ogromne znaczenie. Przede wszystkim, unikaj dymu papierosowego i innych substancji drażniących drogi oddechowe (np. silne odświeżacze powietrza, intensywne środki czystości). Zapewnij psu czyste, świeże powietrze. Unikaj sytuacji, które mogą prowadzić do nadmiernej ekscytacji lub stresu, ponieważ, jak już wspomniałem, mogą one wywołać atak kaszlu. W upalne dni ogranicz spacery do wczesnych godzin porannych lub wieczornych, ponieważ wysokie temperatury i wilgotność dodatkowo utrudniają oddychanie. Stwórz psu spokojne i komfortowe warunki.
Co robić w trakcie ataku duszności? Praktyczne wskazówki.
Atak duszności u psa może być przerażający zarówno dla zwierzęcia, jak i dla właściciela. Najważniejsze jest, aby zachować spokój. Panika tylko pogorszy sytuację.
- Zachowaj spokój: Twój spokój udzieli się psu.
- Zapewnij chłodne, dobrze wentylowane miejsce: Przenieś psa do chłodnego pomieszczenia, z dala od źródeł ciepła i hałasu. Możesz użyć wiatraka, aby delikatnie skierować na niego strumień powietrza.
- Unieś głowę i szyję: Delikatnie unieś głowę i szyję psa, aby ułatwić przepływ powietrza.
- Zapewnij dostęp do świeżej wody: Jeśli pies jest w stanie pić, podaj mu świeżą wodę.
- Natychmiast skontaktuj się z weterynarzem: Nawet jeśli atak minie, zawsze powinieneś skonsultować się z lekarzem weterynarii. W przypadku ciężkich duszności, sinicy lub omdlenia, udaj się do najbliższej kliniki weterynaryjnej bez zwłoki. Weterynarz może podać leki rozszerzające oskrzela lub tlen, aby ustabilizować stan psa.
Jakie są rokowania? Perspektywy i jakość życia psa z zapadającą się tchawicą
Wiem, że perspektywa przewlekłej choroby może być przytłaczająca. Często słyszę pytania, czy zapadanie się tchawicy to "wyrok". Chociaż jest to poważne schorzenie, chcę Cię zapewnić, że odpowiednia opieka i leczenie mogą zapewnić Twojemu Yorkowi długie i komfortowe życie. Moim celem jest zawsze danie nadziei i pokazanie, że nawet z chorobą, życie może być pełne radości.
Czy zapadanie się tchawicy to wyrok? Czego realnie można się spodziewać?
Zapadanie się tchawicy jest chorobą nieuleczalną i postępującą to fakt, z którym musimy się zmierzyć. Nie oznacza to jednak, że jest to "wyrok" lub że Twój pies nie może prowadzić szczęśliwego życia. Wręcz przeciwnie! W wielu przypadkach, dzięki odpowiedniemu zarządzaniu chorobą, psy z zapadającą się tchawicą żyją tak samo długo, jak ich zdrowi rówieśnicy. Kluczem jest zrozumienie, że to choroba, którą trzeba zarządzać, a nie leczyć. Oznacza to regularne wizyty u weterynarza, konsekwentne stosowanie leków i dbałość o środowisko. Z moich obserwacji wynika, że zaangażowanie właściciela ma tu największe znaczenie.
Długoterminowe perspektywy przy leczeniu zachowawczym i po operacji.
Długoterminowe rokowania zależą w dużej mierze od stopnia zaawansowania choroby w momencie diagnozy oraz od reakcji psa na leczenie. W przypadku łagodniejszych stopni (I i II), leczenie zachowawcze często pozwala na znaczną poprawę komfortu życia psa przez wiele lat. Regularne podawanie leków, kontrola wagi i unikanie czynników drażniących potrafią zdziałać cuda. W bardziej zaawansowanych przypadkach (III i IV stopień), interwencja chirurgiczna, taka jak wszczepienie stentu, jest często najskuteczniejszą metodą. Chociaż wiąże się ona z pewnym ryzykiem i wymaga dalszej opieki, wielu psom przywraca zdolność do swobodnego oddychania i znacząco poprawia jakość życia. Pamiętaj, że każdy przypadek jest indywidualny, a ja zawsze będę dążył do znalezienia najlepszego rozwiązania dla Twojego pupila.
Przeczytaj również: Czym odrobaczać kota? Skuteczne metody i preparaty dla zdrowia kota
Podsumowanie: Jak zapewnić psu maksymalny komfort mimo choroby?
Podsumowując, zapadanie się tchawicy u Yorkshire terriera to wyzwanie, ale nie koniec świata. Kluczem do zapewnienia Twojemu psu maksymalnego komfortu jest kompleksowe podejście:
- Regularne wizyty u weterynarza: Pozwolą na monitorowanie stanu zdrowia i dostosowywanie leczenia.
- Przestrzeganie zaleceń: Konsekwentne podawanie leków i stosowanie się do wskazówek lekarza.
- Kontrola wagi: Utrzymanie psa w optymalnej kondycji fizycznej.
- Odpowiednie akcesoria: Zawsze szelki zamiast obroży.
- Zarządzanie środowiskiem: Unikanie dymu, alergenów, upałów i nadmiernego stresu.
Dzięki Twojej troskliwej opiece i współpracy z weterynarzem, Twój York może prowadzić szczęśliwe i aktywne życie, mimo tej choroby. Twoje zaangażowanie jest dla niego bezcenne, a ja jestem tutaj, aby Cię w tym wspierać.
