Otrzymałeś wyniki morfologii krwi swojego psa i czujesz się zagubiony? To zupełnie naturalne. Wiem, jak stresujące może być otrzymanie dokumentu pełnego skrótów i liczb, które na pierwszy rzut oka niewiele mówią. Ten artykuł to Twój przewodnik po dwóch kluczowych parametrach: WBC (białe krwinki) i PLT (płytki krwi). Moim celem jest pomóc Ci zrozumieć, co oznaczają i jak przygotować się do rozmowy z weterynarzem, aby świadomie zadbać o zdrowie swojego pupila. Pamiętaj, że wiedza to siła, a zrozumienie podstaw pozwoli Ci aktywnie uczestniczyć w procesie leczenia.
Zrozumienie WBC i PLT z morfologii psa jest kluczowe, ale ostateczna interpretacja należy do weterynarza.
- WBC (białe krwinki) to strażnicy odporności, a ich norma to 6,0-16,5 tys./µl.
- PLT (płytki krwi) odpowiadają za krzepnięcie, a ich norma to 200-500 tys./µl.
- "H" na wyniku oznacza podwyższony poziom, "L" obniżony.
- Odchylenia mogą wskazywać na infekcje, stany zapalne, choroby autoimmunologiczne lub nowotwory.
- Małopłytkowość często wiąże się z chorobami odkleszczowymi, co jest ważne w Polsce.
- Zawsze konsultuj wyniki z weterynarzem, który oceni je w kontekście stanu klinicznego psa.

Twój pies ma wyniki morfologii? Spokojnie, oto klucz do zrozumienia parametrów WBC i PLT
Wiem, że widok wyników badań laboratoryjnych, zwłaszcza gdy dotyczą naszego ukochanego pupila, może wywołać niepokój. To zupełnie normalna reakcja. Morfologia krwi to jednak potężne narzędzie diagnostyczne, które dostarcza weterynarzowi mnóstwa cennych informacji. Zamiast panikować, spróbujmy wspólnie zrozumieć podstawy, abyś mógł z większym spokojem i świadomością rozmawiać z lekarzem.
Dlaczego sama cyfra to za mało? Rola lekarza weterynarii w interpretacji wyników
Zapewne kusi Cię, by samodzielnie "rozszyfrować" te tajemnicze liczby i skróty. Muszę jednak podkreślić, że samodzielna interpretacja wyników jest niewskazana i może prowadzić do błędnych wniosków, a co za tym idzie do niepotrzebnego stresu lub, co gorsza, do zbagatelizowania ważnych sygnałów. Lekarz weterynarii jest jedyną osobą uprawnioną do postawienia diagnozy, ponieważ bierze pod uwagę nie tylko same liczby, ale także cały szereg innych, niezwykle istotnych czynników:
- Ogólny stan kliniczny psa: Czy pies ma objawy? Jak się zachowuje? Czy zmienił się jego apetyt? To wszystko są kluczowe elementy układanki.
- Historię chorób i leczenia: Czy pies chorował wcześniej? Jakie leki przyjmował? Czy miał jakieś urazy?
- Wiek, rasę i płeć zwierzęcia: Wartości referencyjne mogą się różnić. Przykładowo, u Cavalier King Charles Spanieli może występować genetyczna małopłytkowość, która często nie daje objawów klinicznych. Z kolei charty mogą mieć naturalnie wyższy hematokryt.
- Różnice w normach referencyjnych między laboratoriami: Każde laboratorium ustala swoje własne zakresy referencyjne, które mogą się nieznacznie różnić. Dlatego zawsze patrzymy na normy podane na konkretnym wydruku.
Pamiętaj, że wyniki badań to tylko jeden z elementów kompleksowej oceny stanu zdrowia Twojego psa. Dopiero połączenie ich z obrazem klinicznym pozwala na trafną diagnozę i skuteczne leczenie.
Jak czytać wydruk z laboratorium: co oznaczają skróty H (High) i L (Low)?
Kiedy patrzysz na wydruk z laboratorium, często obok wartości liczbowych pojawiają się literki "H" lub "L". Co one oznaczają?
- H (High): Ta literka wskazuje, że dany parametr ma wartość powyżej górnej granicy normy referencyjnej podanej przez laboratorium.
- L (Low): Z kolei "L" oznacza, że wartość parametru jest poniżej dolnej granicy normy.
Ważne jest, aby zrozumieć, że są to jedynie wskaźniki odchylenia od zakresu referencyjnego. Nie jest to diagnoza! Czasami niewielkie odchylenia mogą być fizjologiczne i nie świadczyć o żadnej chorobie, innym razem nawet mała zmiana może być sygnałem ostrzegawczym. To właśnie dlatego tak kluczowa jest konsultacja z weterynarzem, który oceni te odchylenia w kontekście całego obrazu klinicznego.

WBC (białe krwinki): strażnicy odporności Twojego psa
Białe krwinki, czyli leukocyty, to prawdziwi strażnicy zdrowia Twojego psa. Ich rola w organizmie jest nie do przecenienia, ponieważ to one stoją na pierwszej linii obrony przed wszelkimi zagrożeniami.
Co to jest WBC i dlaczego ten parametr jest tak ważny dla zdrowia?
WBC to skrót od White Blood Cells, czyli białych krwinek, inaczej leukocytów. Są to komórki układu odpornościowego, które krążą we krwi i limfie, a także przebywają w tkankach. Ich główną funkcją jest obrona organizmu przed patogenami, takimi jak bakterie, wirusy, grzyby czy pasożyty, a także usuwanie uszkodzonych komórek i udział w procesach zapalnych. Krótko mówiąc, to armia, która chroni Twojego psa przed chorobami.
Standardowy zakres referencyjny dla psów to zazwyczaj od 6,0 do 16,5 tys./µl, choć warto pamiętać, że normy mogą się nieznacznie różnić w zależności od laboratorium.
Podwyższone WBC (leukocytoza): kiedy organizm psa wzywa posiłki?
Jeśli na wyniku widzisz literkę "H" obok WBC, oznacza to, że poziom białych krwinek jest podwyższony mówimy wtedy o leukocytozie. Zazwyczaj jest to sygnał, że organizm psa aktywnie walczy z jakimś zagrożeniem. Podwyższone WBC może wskazywać na:
- Procesy zapalne, szczególnie te o podłożu bakteryjnym.
- Infekcje (bakteryjne, wirusowe, grzybicze).
- Choroby nowotworowe, które mogą stymulować produkcję białych krwinek.
- Silny stres, który może wywołać fizjologiczną leukocytozę.
- Niektóre choroby metaboliczne, takie jak cukrzyca.
- Anemia, zwłaszcza hemolityczna.
- Działanie niektórych leków, na przykład kortykosteroidów.
Wysokie WBC to znak, że układ odpornościowy psa jest aktywny i pracuje na zwiększonych obrotach.
Niskie WBC (leukopenia): dlaczego odporność może być osłabiona?
Literka "L" przy WBC oznacza obniżony poziom białych krwinek, czyli leukopenię. Jest to stan, który może być bardziej niepokojący niż leukocytoza, ponieważ wskazuje na osłabienie zdolności obronnych organizmu. Niska liczba białych krwinek może mieć wiele przyczyn:
- Infekcje wirusowe, takie jak groźna parwowiroza, która atakuje szpik kostny.
- Choroby szpiku kostnego, gdzie produkowane są komórki krwi.
- Niektóre nowotwory, np. chłoniaki czy białaczki.
- Zatrucia, zarówno lekami (np. niektóre chemioterapeutyki), jak i metalami ciężkimi.
- Choroby autoimmunologiczne, w których organizm atakuje własne komórki.
Leukopenia osłabia odporność psa, czyniąc go znacznie bardziej podatnym na zakażenia, dlatego wymaga szybkiej i dokładnej diagnostyki.
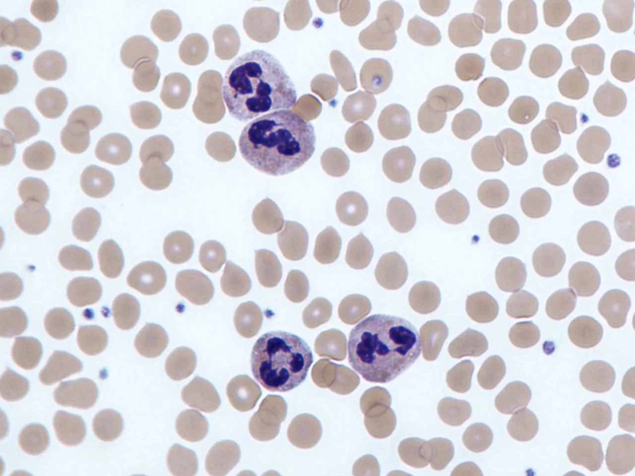
Nie wszystkie białe krwinki są takie same: słów kilka o neutrofilach, limfocytach i eozynofilach
Warto wiedzieć, że WBC to nie jednorodna grupa komórek. Składa się z kilku typów białych krwinek, z których każda pełni nieco inną funkcję. Aby uzyskać pełniejszy obraz, weterynarz często zleca tzw. leukogram, czyli rozmaz krwi. Pozwala on ocenić proporcje poszczególnych typów krwinek:
- Neutrofile: Najliczniejsze, walczą głównie z bakteriami.
- Limfocyty: Odpowiedzialne za odporność swoistą, walczą z wirusami i komórkami nowotworowymi.
- Eozynofile: Ich podwyższony poziom często wskazuje na alergie lub obecność pasożytów.
- Monocyty: Fagocytują patogeny i uszkodzone komórki.
- Bazofile: Uczestniczą w reakcjach alergicznych.
Analiza tych proporcji jest kluczowa, ponieważ pozwala weterynarzowi precyzyjniej określić rodzaj problemu. Na przykład, podwyższone neutrofile przy jednoczesnym obniżeniu limfocytów mogą sugerować infekcję bakteryjną, podczas gdy podwyższone eozynofile często kierują diagnostykę w stronę alergii lub robaczycy.

PLT (płytki krwi): mali bohaterowie odpowiedzialni za krzepnięcie
Płytki krwi, choć niewielkie, odgrywają absolutnie fundamentalną rolę w utrzymaniu zdrowia Twojego psa. To dzięki nim drobne skaleczenia nie kończą się poważnym krwotokiem.
Czym są i jaką funkcję pełnią płytki krwi w organizmie psa?
PLT to skrót od Platelets, czyli płytek krwi, nazywanych również trombocytami. Wbrew pozorom nie są to pełnoprawne komórki, lecz fragmenty komórkowe, które powstają w szpiku kostnym. Ich kluczową funkcją jest udział w procesie krzepnięcia krwi. Kiedy naczynie krwionośne zostanie uszkodzone, płytki krwi natychmiast gromadzą się w miejscu urazu, tworząc "korek", który zatrzymuje krwawienie. Bez nich nawet niewielkie skaleczenie mogłoby być bardzo niebezpieczne.
Wartości referencyjne dla psów wynoszą zazwyczaj od 200 do 500 tys./µl.
Podwyższone PLT (trombocytoza): czy zawsze jest powodem do niepokoju?
Podwyższony poziom płytek krwi, czyli trombocytoza (lub nadpłytkowość), nie zawsze jest powodem do paniki, ale zawsze wymaga uwagi weterynarza. Może świadczyć o wielu stanach:
- Niedobory żelaza, które mogą stymulować produkcję płytek.
- Przebyty krwotok, po którym organizm intensywnie uzupełnia straty.
- Choroby nowotworowe, które mogą wpływać na szpik kostny.
- Infekcje i stany zapalne.
- Stan po usunięciu śledziony, ponieważ śledziona jest miejscem magazynowania i usuwania starych płytek.
W niektórych przypadkach trombocytoza może być reakcją na inny problem zdrowotny, a nie samodzielną chorobą. Weterynarz oceni, czy wymaga ona dalszej diagnostyki.
Niskie PLT (małopłytkowość): co może oznaczać i na co zwrócić uwagę?
Obniżony poziom płytek krwi, czyli trombocytopenia (lub małopłytkowość), jest stanem, który zawsze należy traktować poważnie. Zwiększa on ryzyko krwawień, zarówno wewnętrznych, jak i zewnętrznych. Pies z małopłytkowością może mieć skłonność do siniaków, krwawień z nosa, dziąseł, a nawet krwawień do przewodu pokarmowego. Przyczyny małopłytkowości mogą być różnorodne:
- Choroby autoimmunologiczne, w których organizm niszczy własne płytki.
- Schorzenia szpiku kostnego, gdzie produkcja płytek jest zaburzona.
- Nowotwory, które mogą naciekać szpik.
- Infekcje wirusowe (np. wirusowe zapalenie wątroby).
- Działanie niektórych leków.
- U niektórych ras, np. Cavalier King Charles Spaniel, może występować genetyczna małopłytkowość. Co ciekawe, często nie daje ona objawów klinicznych, ale warto o niej wiedzieć.
Jeśli weterynarz zdiagnozuje małopłytkowość, z pewnością zleci dalsze badania, aby ustalić jej przyczynę i wdrożyć odpowiednie leczenie.
Małopłytkowość a choroby odkleszczowe: dlaczego w Polsce to tak ważne połączenie?
W Polsce, gdzie kleszcze stanowią realne zagrożenie przez większą część roku, choroby odkleszczowe są bardzo częstą przyczyną małopłytkowości. Szczególnie mam na myśli babeszjozę, anaplazmozę czy erlichiozę. Te choroby przenoszone przez kleszcze mogą prowadzić do gwałtownego spadku liczby płytek krwi, co jest jednym z ich charakterystycznych objawów. Dlatego, jeśli Twój pies ma obniżone PLT, a w ostatnim czasie miał kontakt z kleszczami lub nie był odpowiednio zabezpieczony, koniecznie poinformuj o tym weterynarza. To kluczowa informacja, która może przyspieszyć diagnozę i wdrożenie właściwego leczenia. Pamiętaj o regularnej profilaktyce przeciwkleszczowej to naprawdę ratuje życie!

Jak przygotować się do rozmowy z weterynarzem po odebraniu wyników?
Odebranie wyników morfologii to dopiero początek drogi. Najważniejsza jest teraz efektywna komunikacja z weterynarzem. Przygotowanie się do wizyty pozwoli maksymalnie wykorzystać czas i ułatwi postawienie trafnej diagnozy.
Wynik to nie diagnoza: dlaczego kontekst kliniczny ma kluczowe znaczenie?
Muszę to powtórzyć: sam wynik badania krwi to nie diagnoza. To jedynie kawałek układanki, który weterynarz musi połączyć z wieloma innymi elementami. Najważniejszy jest kontekst kliniczny czyli wszystko, co dzieje się z Twoim psem. Objawy, które obserwujesz, historia zdrowotna psa, jego styl życia, dieta, a nawet zachowanie w domu to wszystko ma ogromne znaczenie. Lekarz weterynarii jest jak detektyw, który zbiera wszystkie te informacje, analizuje je i dopiero wtedy jest w stanie postawić trafną diagnozę i zaplanować odpowiednie leczenie. Twoja rola jako uważnego obserwatora jest w tym procesie nieoceniona.
Notatki dla właściciela: jakie informacje przekazać lekarzowi, by ułatwić interpretację?
Aby jak najlepiej pomóc weterynarzowi, przygotuj się do wizyty. Zapisz sobie wszystkie istotne informacje to naprawdę ułatwi pracę lekarza i przyspieszy proces diagnostyczny. Oto, co warto zanotować:
- Obserwowane objawy: Kiedy się zaczęły? Jak często występują? Czy się nasilają? (np. kaszel, wymioty, biegunka, kulawizna, apatia).
- Zmiany w zachowaniu: Czy pies jest bardziej osowiały, mniej aktywny, zmienił się jego apetyt, pragnienie, częstotliwość oddawania moczu/kału?
- Przyjmowane leki: Wypisz wszystkie leki (również te bez recepty), suplementy, witaminy, które pies obecnie przyjmuje lub przyjmował w ostatnim czasie.
- Ostatnie podróże: Czy byliście w ostatnim czasie w innym regionie Polski lub za granicą?
- Ekspozycja na kleszcze: Czy pies miał kleszcze? Czy jest regularnie zabezpieczany przeciwko pasożytom zewnętrznym? Kiedy ostatnio?
- Dieta psa: Czy coś się zmieniło w jego jedzeniu? Czy dostawał jakieś nowe smakołyki?
- Wszelkie inne niepokojące obserwacje: Nawet jeśli wydają Ci się błahe, powiedz o nich weterynarzowi.
Jeśli posiadasz jakiekolwiek poprzednie wyniki badań (krwi, moczu, obrazowe), koniecznie zabierz je ze sobą. Porównanie wyników z przeszłości może dostarczyć cennych wskazówek.
Przeczytaj również: Odrobaczanie psa: Jak często? Kalendarz i objawy - poradnik
Kolejne kroki: jakie dodatkowe badania może zlecić weterynarz?
W zależności od wyników morfologii i stanu klinicznego psa, weterynarz może zlecić dodatkowe badania, aby pogłębić diagnostykę i znaleźć przyczynę odchyleń. To naturalny etap procesu leczenia. Do często zlecanych badań należą:
- Powtórna morfologia po pewnym czasie, aby sprawdzić dynamikę zmian.
- Badania biochemiczne krwi, oceniające funkcjonowanie narządów wewnętrznych (nerki, wątroba, trzustka).
- Badania moczu, w tym badanie ogólne i posiew.
- Badania w kierunku chorób odkleszczowych (np. testy PCR, szybkie testy).
- Badania obrazowe, takie jak USG jamy brzusznej, RTG klatki piersiowej, a czasem nawet bardziej zaawansowane (tomografia komputerowa, rezonans magnetyczny).
- Rozmaz krwi, jeśli nie był wykonany, w celu szczegółowej oceny typów białych krwinek.
- Badanie szpiku kostnego, w przypadku podejrzenia poważnych chorób hematologicznych.
Pamiętaj, że te dodatkowe badania nie są "karą", lecz narzędziami, które pomagają w precyzyjnym określeniu problemu i wdrożeniu najbardziej skutecznego leczenia dla Twojego psa. Twoja współpraca z weterynarzem jest kluczem do zdrowia i dobrego samopoczucia Twojego pupila.
